19日,威远县人民医院成功实施首例急诊冠脉造影+支架手术。此手术在威远县人民医院尚属首例,标志着威远县人民医院的冠心病治疗水平迈上了一个崭新的台阶。
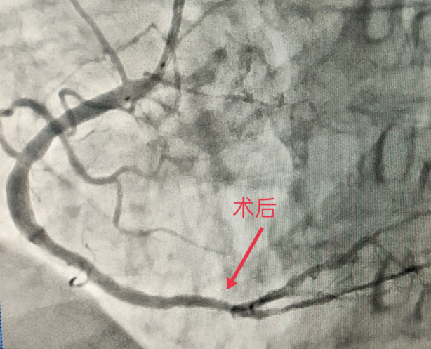
患者官某,89岁,男性,胸痛6小时入院,经检查,诊断为“急性下壁ST段抬高心肌梗死”,需进行冠状动脉造影检查+支架植入手术。在征得患者及家属同意后,经皮行桡动脉血管穿刺后,通过心导管到达心脏冠状动脉进行冠状动脉造影检查和支架植入手术,成功开通血管后患者胸痛消失,安返病房。经心内科医护人员的精心治疗与护理,患者病情平稳,生命体征正常,得到了患者及家属的认可。


此例冠脉造影+支架植入术的顺利完成,填补了威远县人民医院在心脏病微创治疗方面的空白。
近年来,威远县人民医院着眼于提高医疗技术水平,大力引进各学科高级人才,使医院整体水平大幅度提高,标志着威远县人民医院向“大病不出县”迈出了坚实的一步。