小针解决大问题
——带你了解介入超声囊肿硬化治疗那些事

体检时,体检报告上经常会出现“囊肿”的字眼。因为里面有个“肿”字,不少体检者常把它与肿瘤联系在一起,甚至担心它会癌变,还会想着是否需要手术切除。囊肿真的只能手术切除吗?
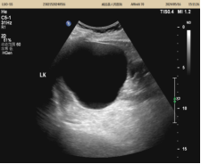
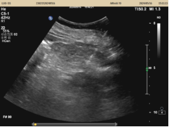
70岁的罗先生觉得左腰部不舒服有一段时间了,在几年前的体检中发现左肾有一个8.2x197.5px的囊肿,由于囊肿过大,医生建议手术治疗。因年龄偏大,担心手术风险,所以对手术治疗一直心存顾虑。他听说威远县人民医院超声科有不手术就可以治疗囊肿的方法,抱着了解的心态就来了。超声科副主任医师何玉周向罗先生详细解释了超声引导下经皮囊肿穿刺抽液硬化治疗术,并对其进行了囊肿硬化治疗。术前术后即刻对比,效果立竿见影,囊肿消失不见,罗先生避免了开放手术和腹腔镜手术,感到十分的满意。


下面我们来详细了解下囊肿穿刺硬化的那些事

囊肿硬化的优势
传统开放手术或腹腔镜下囊肿开窗术虽疗效显著,但手术创伤大,住院时间长,医疗费用高。囊肿硬化技术具有实时监测、精准引导、微创、方法简便、治疗成本低、并发症少、疗效显著等优势;对患者身体条件要求较低,尤其适合年龄大、基础疾病多,不能进行全麻手术的患者。对小的病灶和移动性大的器官穿刺不受影响;没有放射损伤;痛苦小、恢复快、并发症少,远期疗效好,复发率低;成为患者可以选择的微创、且经济的治疗方法。

适应症
1.肝、肾囊肿
2.甲状腺囊性结节
3.卵巢囊肿及巧克力囊肿
术后注意事项
(1)穿刺点按压15分钟,术后当天尽量卧床休息。
(2)敷贴保护24小时,保持穿刺处清洁干燥。
(3)术后两小时可吃饭喝水,应适当多喝水至尿液排出清亮。
(4)术后可能出现出血症状。出血量较大时,需超声检查有无血管破裂,如有血管破裂需及时处理。
(5)术后注意观察小便颜色、血压等相关情况。部分患者可能出现少量血尿,会逐步缓解。
(6)术后轻微疼痛,一般几天后可自行缓解。若出现术区明显肿胀、疼痛,请及时联系医护人员。
(7)少数患者术后可能出现醉酒状态,可对症处理。术后如需使用抗生素,应告知医生囊肿治疗使用药物聚桂醇含有酒精成分。
(8)术后1周内避免重体力劳动,正常生活、工作不影响。
(9)部分患者术后低热,一般不超过38.5度无需特殊处理,通常1-2周后可恢复正常。
(10)术后2个月内囊壁处于渗出期,渗出液会使囊肿再次增大,后期囊液会逐渐吸收消失,囊肿逐渐塌陷、萎缩。
(11)建议术后3月、6月、1年随诊。
目前,我院功能科已常规开展甲状腺囊肿、肝肾囊肿、盆腔囊肿及巧克力囊肿的硬化治疗。欢迎咨询、预约,电话:0832-8231022。
功能科 张春燕